2년 전인 2020년 1월 20일, 중국 우한에서 입국한 중국 여성이 우리나라의 첫 코로나19바이러스감염증 환자로 확진되었다. 그리고 2월 16일 즈음까지 누적 확진자는 30명 정도로 산발적으로 확진자가 나오고 있었다. 그런데 2월 18일 대구에서 그 유명한 31번 확진자가 발생한 이후 신천지 교인을 중심으로 팬데믹이 터져버렸다. 이 대구 신천지 교회에서 터진 팬데믹으로 인해 우리나라는 중국, 이탈리아와 함께 전 세계적으로 유명세를 타며 코로나19 위험국가로 인식되었다.
그리고 그 다음 주 주말, 공교롭게도 난 미국 시애틀 출장을 가게 되었고 난생 처음 “혐오의 눈빛”이 무언지를 절실하게 느끼게 되었다. 시애틀 타코마 국제공항에서 시애틀 시내로 들어가는 전철 안에서 우리 일행이 탑승하자 멀리 자리를 옮기는 사람들. 입을 가리고 더러운 노숙자를 바라보듯 하는 눈빛은 지금도 잊을 수가 없다.
아침. 호텔에서 일터로 가는 길에서는 노숙자들 조차도 멀찌감치에서 우리를 보고 알아듣기 조차 힘든 비속어로 추정되는 소리를 지르는 것이 분명해 보였다. 그리고 일주일로 출장 일정이 짧았길래 망정이지 우리 일행이 귀국하는 다음날 부터는 한국과 시애틀을 오가는 항공편이 모두 취소되었다. 하마터면 국제 미아가 될 뻔한 순간이었다.
코로나19바이러스감염증은 단순한 감기나 독감과 비슷한가?
의외로 많은 사람들이 잘못알고 있는 것이 바로 “코로나19바이러스 감염증”이 그냥 독감이나 감기와 같거나 비슷한 수준의 질병이라는 잘못된 지식이다. 코로나19바이러스감염증은 현재로서는 꽤 무서운 질병이다. 감염되어 사망에 이르는 확률 즉, 치명율이 오늘(2022년 1월5일) 현재 전세계 확진자 대비 사망자 비율로 볼 때 2%가 넘는다. 2015년 통계청 통계에서 볼 수 있듯 호흡기 결핵의 치명율 4% 보다는 낮지만 절반 정도되는 만큼 독감이나 감기처럼 가볍게 치부하고 넘어갈 만한 전염병은 아니다. 그리고 확진자 중 무증상자 비율이 50% 정도에 지나지 않을 만큼 증상을 겪을 가능성도 높다. 즉 확진자의 절반정도가 고통스런 증상에 시달린다는 이야기다. 다만 페스트나 에볼라바이러스감염증 만큼 “걸리면 죽는다”고 할만큼 무지막지한 전염병은 아니다.
즉 코로나19바이러스감염증이 감기나 독감(인플루엔자)과 근본적으로 다른 점은 코로나19바이러스감염증 자체로 사망에 이를 가능성이 훨씬 더 높다는 점이다. 감기를 일으키는 감기바이러스는 그 자체로서 사람을 죽일만큼 강력하지는 않다. 그나마 독감(인플루엔자)이 그 자체로서 사망에 이를 수도 있지만 독감은 코로나19보다 확실한 백신과 치료제가 있다. 그리고 감기나 독감으로 사망하는 사람들의 경우 질병 그 자체보다도 합병증 등으로 인해 사망하는 경우가 더 많다. 그러나 코로나19바이러스는 다른 합병증 없이 감염증 증상 자체로 사망에 이를 가능성이 훨씬 높으며 특히 코로나19바이러스에 감염 후 폐조직이 빠른시간에 망가져 사망하는 사례가 계속 보고되고 있다.
게다가 코로나19바이러스감염증이 독감이나 감기와 또 다른 점은 회복된 뒤에도 상당한 후유증을 동반할 가능성이 매우 높다는 점이다. 정신이 희미해지고 기억력이 일상생활에 지장을 줄만큼 저하되는 브레인 포그, 가슴과 복부의 통증, 만성피로, 피부변색 등의 후유증이 남을 수 있다는 점이다. 독감과 감기는 낫게 되면 후유증이 남지 않는다. 잘먹고 푹 쉬면 완벽하게 감염 전으로 돌아갈 수 있다. 합병증으로 인한 후유증은 남을 수 있으나 독감이나 감기 바이러스가 직접적으로 후유증을 남기지는 않는다.
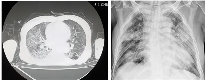
2021년에 경북대학교에서 진행한 완지차 대상 설문조사에서 응답자 965명 중 91%(879명)가 최소 1개 이상의 후유증을 겪고 있다고 응답했다. 그리고 코로나19바이러스 감염증에서 가장 우려가 되는 부분은 바로 폐손상이다. 독감이나 감기로 인해 직접적으로 폐손상이 발생하는 경우는 거의 없다. 그러나 코로나19바이러스는 바이러스 자체가 직접적으로 폐의 손상을 유발하는 것으로 나타났다.
.jpg)
특히나 중증으로 발전한 코로나19바이러스감염증 환자들은 대부분 폐의 손상으로 인해 사망에 이른다. 코로나19바이러스가 폐를 박테리아나 세균으로 부터 보호하는 대식세포에 영향을 줘 폐의 염증을 악화시키는 것으로 밝혀졌다. 이는 일반적인 인플루엔자로 인한 독감이나 감기에서는 볼 수 없는 현상이다.
따라서 코로나19바이러스감염증을 감기나 독감과 비슷하다고 생각해서는 안되는 것이다.
게다가 코로나19바이러스감염증은 전파력이 독감이나 감기와는 비교할 수 없을만큼 강력하다. 때문에 치명율이 비록 2%정도이지만 높은 전파력으로 인해 사망자는 기하급수적으로 증가하게 된다. 미국이나 남미 등지에서 코로나19감염증으로 사망한 사망자 시신을 제대로 장례지내지 못하는 상황이 발생한 것이 명백한 증거다.
코로나19백신은 왜 맞아야 하는가?
많은 사람들이 “자유”를 외치며 코로나19백신을 맞지 않을 권리를 주장한다. 일면 그들의 주장도 일리가 있다. 코로나19백신의 안정성이 타 백신에 비해 제대로 “검증”되지 않은채 시판되었기 때문이다. 그리고 안전성 검증이 부족하다는 것을 현재 3차(부스터샷) 접종까지 맞으면서 직접 느꼈기 때문이다.

필자는 계절을 정확하게 식별하는 계절성 알레르기가 있는데 그 증상이 백신 접종 후 일시적으로 심해진다든가 알레르기가 발생할 계절이 아닌데 일시적으로 알레르기가 발생 해 코에 염증이 생긴다던지 험한 산을 오르는 등산 후 뻑적지근했던 허벅지에 근육통이 일시적으로 심해지는(밤에 자다가 깰정도로) 부작용을 경험했다. 반면, 다른 사람들이 호소하는 발열이나 두통은 내 경우에는 거의 없었다.
그럼에도 불구하고 필자가 3차 접종까지 맞은 이유는 내가 코로나19감염증에 감염되어 발생할 수 있는 사망이나 폐손상의 위험(폐는 한번 손상되어 섬유화되면 복원이 되지 않음)을 감수하는 것과 내가 다른 사람에게 코로나19 바이러스를 전파하는 피해를 주는 것이 싫었기 때문이다. 그리고 설사 돌파감염이 되더라도 내가 사회적 책임을 다하지 않았다는 비판이나 자책감에 노출되고 싶지 않기 때문이다. 내 옆지기 또한 부스터샷까지 맞았고 대학교 재학중인 딸과 고등학교에 재학중인 아들은 2차 접종까지 마쳤다. 모두 별다른 부작용은 없었다. 출시 전 완전한 검증을 하지 못하고 긴급사용승인만 받은 상태의 백신이지만 안전성은 코로나19감염증의 위험보다는 낫다고 판단된다.
하지만 일부 사람들이 주장하듯 백신의 위험을 피하기 위해 백신을 맞지 않는 선택을 할 수도 있었다. 그리고 부득이한 사정으로 인해 코로나19백신을 접종할 수 없는 사람들도 존재한다. 정부가 그런 사람들을 위한 대책을 마련하여야 하는 것은 필요하다. 다만 그 부득이함은 개인이 증명하여야 하고 정부는 그 증명을 할 수 있도록 도와야 한다.
자유에는 책임과 의무가 따르는 것이 민주주의의 기본정신이다. 그럼에도 일부 “백신을 맞지 않을 자유”를 외치는 사람들 중에는 자유에 따르는 책임과 의무를 무시하는 사람들이 있다. 그 사람들은 백신접종을 유도하는 방역패스를 마치 그 “백신을 맞지 않을 자유”를 해하는 것 “악(惡)”인 것 처럼 주장한다.
코로나19 백신의 접종이 일부 희박하지만 위험이 존재하는 것은 맞다. 하지만 그 위험은 “자유”를 얻기 위한 “책임과 의무”라는 사실을 망각하지 않기 바란다.
방역패스는 책임과 의무를 다하는 사람들에게 주어지는 “자유”의 증명이다. 책임과 의무를 다하지 않는 사람들은 “자유”를 외쳐서는 안된다. 그냥 담담히 그 불편함을 감수하면 되는 것이다. 서로 비난할 이유가 없다.
#백신패스 #코로나19 #코로나19바이러스감염증
답글 남기기